April 4th was my last day of targeted therapy. I completed 450 days of it, and I have had stable scans for the last 6 months — the tumor is hardly visible and not active. The reason for stopping was so that if the tumor comes back, I can restart treatment without being resistant to it. I was also starting to show some toxicities, and my body needed a rest from the powerful cancer drugs. Leading up to that day, I was, in all honesty, freaking out! My safety net was being pulled from me and I was being thrown back into uncharted territory. I started EMDR therapy in January, which targets my PTSD from medical trauma and brain surgeries, and it has been life-changing. So when I stopped, I didn't feel fear or constant anxiety — it was actually really surprising. I just did a huge trust fall. I also get to eat when I want now. I was on a strict fasting schedule every day for 450 days, which made me feel like a child without any choice. I always tell people to be thankful that they have the choice to eat and drink whenever they want, and that their daily life doesn't revolve around pills. It's something I used to take for granted but never will again!
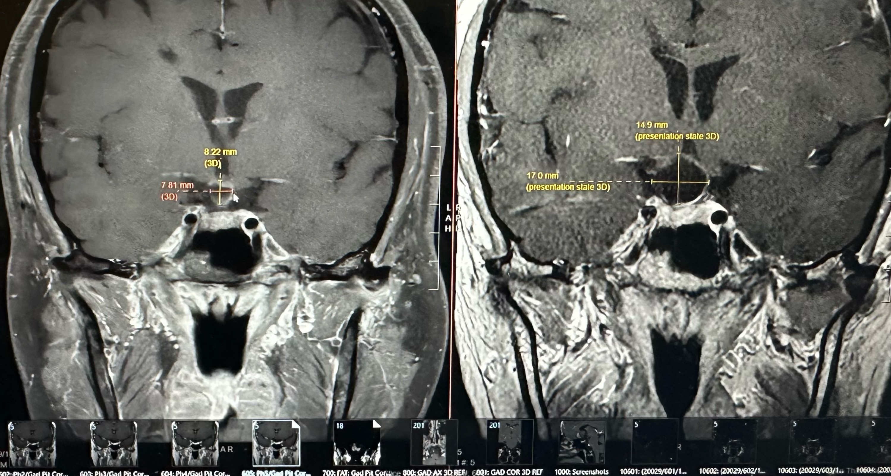
So now I get brain MRIs every 6 weeks, which is intense — but the tumor has a history of growing really fast, so it also keeps me safe. The biggest concern is that if it grows, more damage could be done to my pituitary stalk, optic chiasm, and hypothalamus (these are very important parts of the brain, if you didn't know — they refer to this area as the prime real estate of the brain). I am a very rare unicorn in that my Hypothalamic-Pituitary Axis has no deficiencies after two brain surgeries and two recurrences — even after the first tumor, at 4cm, put extreme strain on it. I am actually being screened again by my new endocrinologist because it's literally unheard of. Looking back, I can see that God definitely had a hand in this miracle. The original misdiagnosis was actually a blessing, because the brain surgeries I had did not harm the most critical part of my brain. My connection with a higher power has definitely brought me through the darkest of times and made my faith stronger. That's the strange and unexpected thing about serious, life-threatening disease — you are forced to go on a spiritual journey, and the way you live, see things, and feel things will forever be different. I'll be honest: I am still in shock that after three years of fighting, I am here and I am okay. Doctors and people look at me and cannot believe I seem and look normal after reading my medical chart. That is my miracle — it still brings me to tears with gratitude. I am not fearful of going through more hardship; I am only annoyed at the thought of having to go back into the process of it — the restriction, the endless blood draws, the weeks filled with appointments, feeling sick, picked, probed, and prodded. Feeling like more of a lab rat than a person, and feeling like my body isn't mine anymore. But I am taking my body back these past couple of weeks and slowly getting physically stronger. Slowly learning to love myself and my body again. I am mentally stronger now than ever, and I know I will always be okay regardless of what comes my way.



