placeholder

UNCHARTED TERRITORY

April 4th was my last day of targeted therapy. I completed 450 days of it, and I have had stable scans for the last 6 months — the tumor is hardly visible and not active. The reason for stopping was…

Read more

Life is pretty much a game of Jenga

I am not one to say that starting a new year changes everything but something has definitely changed since January 1st for me. I feel like I have come alive again. For the third time I have my brain back…
placeholder

New Year and I'm feeling good :)

Well, here I am again for the third time, feeling like myself. I always know that my brain is mine again when I get an itch to start making music. It's almost comical that I lose my mind over and…

Read more
placeholder

Results and new plan

Okay, so the results are in. Still waiting on an official radiology report to confirm but from what my neuro oncologist can see, the tumor has remained very small and inactive. This is GREAT! Huge exhale….. But of course there…

Read more
placeholder

Merry MRI Day

Oh why must my body react in this way? Sick to my stomach reliving the multiple times I had a MRI and told I had a tumor actively growing. Nausea, dizziness, and inability to catch my breath. ’Tis the time…

Read more

It's Been a YEAR?!?

I can't believe it's been exactly a year (September 5 2024) since my second brain surgery.I used to have a Brainiversary but after two, it just seemed weird.  It was a foggy morning just like it is today. I have…

Read more
placeholder

Music on my mind....

I knew I was getting better because I started hearing songs in my head again and found myself coming up with songs throughout the day. I also remembered that I need to release the songs I recorded last year in…

Read more

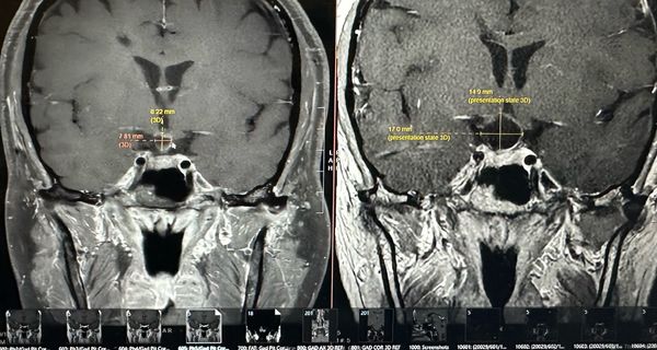
Learning to live in the limbo

Okay, first off, I had my two month MRI yesterday and learned that the tumor shrunk another 30-40% !! Modern medicine, especially precision oncology, is f****** AMAZING. It's crazy to think that exactly two years ago I was being wheeled…

Read more
placeholder

The News

THEY SAID IT’S SHRINKING! THE CHEMO IS WORKING! I am still waiting on my official radiology report but my neuro oncologist measured it on my MRI and he thinks it shrunk 30%. What’s messed up is my mind and body…

Read more

Brain Tumors Don't Play By The Rules

This one is hard to write. I thought for sure with a 90+ percent shrinkage rate that this would be an exciting post and things would finally turn a corner but I learned again that brain tumors do not play…